Note

Histological Sections of Mastigoteuthis Tentacle

Michael Vecchione

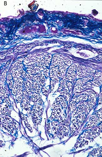
These histological sections of a tentacle of Mastigoteuthis magna show (1) the very small, relative size of the suckers (Figs. A, B), (2) the near lack of transverse muscles (Fig. B) indicating that rapid extension does not occur (a section through the stalk showed the same near-absence of transverse muscles), and (3) the very large axial nerve (Figs. A, C) needed to accommodate the motor and sensory attributes of the numerous suckers.

Sections were prepared by Bill Kier and photographed by Mike Vecchione.

A- Section through the tentacular club. B- Enlargement of a portion of Fig. A. C- Section through the tentacular stalk.
About This Page


National Museum of Natural History, Washington, D. C. , USA

Page: Tree of Life Histological Sections of Mastigoteuthis Tentacle Authored by Michael Vecchione. The TEXT of this page is licensed under the Creative Commons Attribution-NonCommercial License - Version 3.0. Note that images and other media featured on this page are each governed by their own license, and they may or may not be available for reuse. Click on an image or a media link to access the media data window, which provides the relevant licensing information. For the general terms and conditions of ToL material reuse and redistribution, please see the Tree of Life Copyright Policies.

close box

This page is a note that is attached to a branch of the Tree of Life.

ToL notes provide brief accounts of characteristics, short summaries, commentaries, media files, taxonomic information, or identification tools for a given group of organisms.

For a more detailed explanation of the different ToL page types, have a look at the Structure of the Tree of Life page.

close box

Mastigoteuthidae

Page Content

articles & notes

collections

people

Explore Other Groups

random page

  go to the Tree of Life home page
top